¿Querés recuperar tu calidad de vida?
Volvé a comer, sonreír y vivir con tranquilidad con tu tratamiento seguro y planificado.
¿Querés recuperar tu calidad de vida?
Volvé a comer, sonreír y vivir con tranquilidad con tu tratamiento seguro y planificado.
Olvidáte de las soluciones temporales. Nuestros implantes están diseñados para sentirse y funcionar como tus dientes naturales.
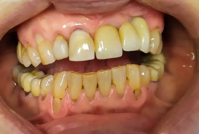
CANDIDATOS
Muchas personas se acostumbran a la incomodidad, hasta que descubren cuánto puede cambiar su dia a dia al volver a comer, sonreír y hablar sin pensar constantemente en cómo hacerlo.
Comer debería ser placentero. Con el tratamiento adecuado, muchas personas vuelven a disfrutar sus comidas con tranquilidad.
Hoy existen soluciones para que tu prótesis vuelva a sentirse firme y segura. Con implantes te ayudamos a lograrlo.
Reír con libertad y disfrutar del momento sin preocuparte por tus dientes debería formar parte de tu vida.
Si respondiste SÍ a alguna de estas situaciones, podemos ayudarte.
En estos videos podés ver el paso a paso, indicaciones de los implantes y hasta un testimonio de una paciente.
Aquí te explico como son los pasos a seguir en Bienestar Dental.
En este video te cuento soluciones para que tu prótesis vuelva a sentirse firme y segura.
Te muestro las diferencias entre implantes y puentes, y porque en muchos casos los implantes pueden ser una mejor solución.
Ella decidio dar el paso y hoy siente que valio completamente la pena. Volver a comer, hablar y sonreir con tranquilidad tambien es calidad de vida.
Confianza en el equipo
Equipo especializado con experiencia en rehabilitación con implantes Más de 80 cirugías exitosas realizadas por la Dra. Risso.
Resultados funcionales y estéticos
Recupera función y estética con resultados naturales, adaptados a tu caso clinico EL objetivo es que vuelvas a comer, hablar y sonreír con normalidad
Experiencia segura
El procedimiento se realiza con anestesia local, en un entorno controlado y acompañado en todo momento. Buscamos que vivas un proceso tranquilo, con indicaciones claras antes, durante y después del tratamiento
Materiales y planificación
Trabajamos con implantes de alta calidad y componentes originales, siguiendo protocolos de planificación personalizados para cada paciente.
Visualizá tu futuro con nosotros.
Volverías a disfrutar de tus comidas favoritas, masticando con total seguridad y sin molestias.
Te olvidarás por completo de que llevas implantes. Sonreír para la foto será tu parte favorita del día.
Habrás ganado años de salud y comodidad. Sentirás que tus dientes nuevos siempre fueron parte de ti.
¿Querés empezar a resolver tu caso?
Resolvemos tus dudas más comunes sobre los implantes dentales.
Para hacer una imagen mental, un implante es como un tornillo. El implante se coloca en el hueso con una cirugía poco compleja y una vez cicatrizado le podemos dar diferentes usos. Podemos remplazar piezas dentales perdidas y también los usamos para darle retención (agarre) a una prótesis con movilidad.
Si te falta alguna pieza dental tendriamos que tener una consulta con ortodoncista para saber si ese espacio dental se puede cerrar con ortodoncia. Si es posible, unicamente con el tratamiento de ortodoncia logramos 2 resultados, alinear las piezas y solucionar la perdida dentaria. De no ser posible estaria indicado el implante
Los implantes nos permiten reponer las piezas dentales de manera fija ( el paciente no lo puede sacar). Las protesis removibles son aparatos que el paciente debe sacar y poner. Son prestaciones muy diferentes una de la otra.
El implante es superior al puente. El implante sostiene la pieza dentaria a reponer por si mismo, no es necesario valernos de las piezas vecinas. Eligiendo los implantes eliminamos los desgastes dentarios que le realizariamos a las piezas vecinas si el tratamiento elegido es el puente. Utilizando implantes disminumos la posibilidad de desarrollar caries en las piezas vecinas.
El procedimiento es realizado en su totalidad bajo anestesia local. El post operatorio no suele reportar dolor ya que es un procedimiento mas sencillo que una extraccion dental. De presentarse alguna incomodidad, con cualquier analgesico suave es suficiente.
Es lo ideal, asi te ahorras pasar varias veces por lo mismo. En un mismo dia y con la misma medicacion.
En un caso ideal el proceso completo desde la colocacion del implante hasta el momento en que ya esta el diente en el lugar, puede ser de 2-3 meses. En casos de cirugias mas complejas puede llevar hasta 7-8 meses. Hay que estudiar el caso clinico.
6 meses por lo menos para realizar la tomografia y evaluar el hueso. En bienestar dental ofrecemos a los pacientes realizarse la extraccion junto con una tecnica para regenerar el hueso en la zona de la extraccion. Ese procedimiento nos mantiene el hueso en vez de que se reabsorba y perdamos la posibilidad de colocar el implante o realizar tecnicas de regeneracion de hueso mas complejas.
Eso lo define las caracteristicas del hueso del paciente. En huesos mas densos el implante quedara mejor fijado. En esos casos a los 2 meses ya se puede rehabilitar. En casos un poco mas complejos podemos demorar hasta 6 meses.
Depende de cada caso clinico. La norma son 2 meses desde la cirugia, pero dependiendo del procedimiento puede ser mas tiempo.
Si, no hay ningun problema.
Igual que cualquier otro diente. Con cepillo suave y mucha conciencia. Puede ser necesario algun cepillo extra mas pequeño para zonas donde sea mas dificil. Pero esos cepillitos te los damos mismo en el consultorio y te enseñamos como hacerlo.
Con los usos indebidos puede romperse (morder cosas extremadamente duras, abrir botellas con la pieza, no usar la placa de bruxismo). EL aflojarse va mas por el lado de la mala higiene y la infección.
Podes visitar nuestro negocio en google maps y leer las reseñas. Tenemos una valoracion de 4,9 ( de 5 maximo) con mas de 100 opiniones.
Es la manera de rehabilitar dientes perdidos por excelencia. Es la mejor decisión. También si tenés una prótesis que no queda firme en el maxilar optar por retención con implantes es ideal. Los pacientes dicen: " la noche y el día" Tenemos un testimonio en Instagram, anda a verlo!
Todos nuestros procedimientos tienen garantia. En cuanto a los implantes ademas contamos con la garantia del fabricante. El implante perdido se devuelve a la empresa y se vuelve a colocar por un costo minimo.
No tenés por que seguir postergando tu sonrisa. Te acompañamos en todo el proceso con un diagnóstico claro y un plan de tratamiento adaptado a vos.
En Bienestar Dental nos encargamos de que tomes la decisión con información, tranquilidad y un equipo que te guíe en cada paso.
planificación personalizada + diagnóstico profesional